SPECTRALIS® HRA+OCT görüntüleme platformu, boya temelli Florescein Anjiyografi (FA) ile eş zamanlı OCT görüntülemesi de dahil olmak üzere tarama lazer fundus görüntüleme yöntemlerini birleştirir. Genişletilebilir bir platform olarak, Glaucoma Modülü Premium Sürümü, OCT2 Modülü, Geniş Alan Görüntüleme ve Ultra Geniş Alan Anjiyografi Modülleri ile birlikte OCT Anjiyografi Modülü gibi ek modüllerle her zaman yükseltilebilir. SPECTRALIS HRA+OCT, panoramik kamera başlığı ve kolay ayarlama ve kolay çekim için harici dokunmatik panel kontrolü ile birlikte teslim edilir.

Glaucoma Module Premium Edition
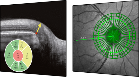
SPECTRALIS® Glaucoma Module Premium Edition, özel Anatomik Pozisyonlama Sistemi (APS) ile optik sinir başı, retina sinir lifi tabakası ve maküler ganglion hücre tabakasını değerlendirmek için benzersiz tarama kalıplarının bir kombinasyonunu sunar. APS teknoloji sayesinde fovea merkezi ve Bruch membran açıklığı baz alınarak her gözün benzersiz anatomik haritası oluşturulur. Böylece glokom tanısında önemli anatomik yapıların görüntülenmesi, analiz edilmesi ve takibi çok yüksek hassasiyetle mümkün olmaktadır. Glaucoma Module Premium Edition, hastaların gözlerini normal gözlere ait referans veritabanıyla karşılaştırır ve hatta çok küçük sapmaları dahi tespit etmenizi sağlar. SPECTRALIS AutoRescan fonksiyonunun hassasiyeti, yapısal değişikliklerin her hasta ziyaretinde güvenilir bir şekilde tanımlanmasına ve takip edilmesine olanak tanır.

Nsite Analytics Module
Beyne açılan pencere – Nörodejenerasyon hakkında yeni bir perspektif kazanın: Nsite Analytics Module, retina içinde, merkezi sinir sistemindeki (MSS) nöronal ve aksiyonal projeksiyonu ölçme yeteneğiyle beyne açılan bir pencere sağlar. Bu sayede, Multiple Skleroz, Parkinson ve Alzheimer gibi optik nöropatiler ve nörodejeneratif süreçleri olan hastaların retina değişikliklerini takip etmek mümkündür. Nsite Analytics Module, merkezi sinir sisteminin benzersiz dokusu olan miyelinsiz aksonlar ve glia içeren peripapiller retinal sinir lifi tabakasının (RNFL) kapsamlı bir analizini gerçekleştirmenizi sağlar. Nsite, referans veritabanında bir renk şeması sınıflandırması uygulayarak RNFL’deki aksiyonal kayıp ve ödematöz değişikliklerini gösterir. Nsite Analytics Module ayrıca maküler retinal kalınlık ve posterior kutup asimetrileri analizini de sunar. Maküler gangliyon hücre katmanı kalınlığı ölçümleri ve ilgili haritaları, gözlenen maküler değişikliklerin doğrudan retinal gangliyon hücreleriyle ilgili olup olmadığını belirtir. Küçük değişiklikleri takip etmek, daha klinik kararlar vermede hekim güvenini arttırmaya yardımcı olur. SPECTRALIS® Nsite Analytics Module, hareket artefaktlarını en aza indirerek ve takip sırasında aynı konumda otomatik olarak tarama yapar, retinal gangliyon hücreleri ve aksların küçük değişikliklerini takip etme imkanı sunar.

MultiColor Module
Renkli Fundus Fotoğrafından Çok Daha Fazlası!: Farklı oküler doku katmanlarından üç farklı lazer ışınıyla aynı anda elde edilen benzersiz çok renkli fundus görüntüleme, konvansiyonel renkli fundus fotoğrafçılığı ile görünmeyen topografik değişiklikleri ortaya çıkarabilen kompozit renkli bir görüntü sağlar. Her dalga boyunun farklı penetrasyonu, her doku katmanından yapısal bilgiler sağlayarak patolojiyi belirlemede size yardımcı olur. Tek renkli görüntülerden veya çok renkli kompozit görüntüden teşhis bilgisi elde edebilir ve bunları çoklu modal görüntüleme rejimine entegre ederek teşhis potansiyellerinden yararlanabilirsiniz. • MultiColor Modülü, OCT görüntüleri ile birleştirildiğinde, kalitatif analize yardımcı olur ve patolojiden etkilenen katmanların tanımlanmasında destek olur. • MultiColor, Floresin Anjiyografi’ye önemli bir ek veri sağlar ve OCT veya OCTA ile birleştirildiğinde, ilaçlı fundus anjiyografisine gerek olup olmadığını doğrulayabilir. • MultiColor, BluePeak fundus otoflorasan görüntüleme ile beraber kullanılabilir ve coğrafi atrofi alanlarının genişliklerinin ölçülmesi için mükemmel bir araçtır. Tek bir çekimde dört fundus görüntüsü ve eşzamanlı OCT’nin hızlı ve kolay bir şekilde edinilmesine olanak tanır, iş akışlarınızı optimize eder. SPECTRALIS®’in konfokal mikroskop teknolojisi, görüntüleme çözünürlüğünü daha da arttırarak, medya opakiteleri ve nistagmuslu hastalarda özellikle kullanışlı olan etkileyici görüntüler elde etmenizi sağlar. Ek olarak, konfokal optik sayesinde pupilla dilatasyonuna gerek kalmadan yüksek çözünürlüklü görüler elde etmenize olanak sağlar.

BulePeak Module
BluePeak otoflüoresans modülü, lipofusin’i bir gösterge olarak kullanarak retina metabolik stresini ortaya çıkaran invaziv olmayan bir fundus görüntüleme modudur. BluePeak görüntüleri, AMD ve kalıtsal hastalıklar gibi retina koşullarına ilişkin teşhis bilgileri sunarak RPE ve fotoreseptör hücre işlev bozukluklarını ortaya çıkarabilir. OCT görüntülerinde retina tabakalarının segmentasyonunu BluePeak otoflüoresansın metabolik haritalamasıyla birleştirerek, fonksiyonel değişikliklerle ilişkili morfolojik değişimler daha net görülebilir. RegionFinder yazılımı ile, BluePeak görüntülerinde kaydedilen patolojik bölgelerin boyutları sayısal olarak ölçülebilir ve zaman içinde takip edilebilir.

Anterior Segment Module
Yüksek çözünürlüklü ön segment görüntüleme: SPECTRALIS® Ön Segment Modülü ile elde edilen yüksek çözünürlüklü görüntüler, korneanın katmanlarını ayrıntılı bir şekilde gösterir ve kornea kalınlığının değerlendirilmesine yardımcı olur. Modül ayrıca, verimli bir ön kamara açısı değerlendirmesi için açıdan açıya görüntüleme sunar ve skleral yapıların detaylı görüntülerini sağlar.

OCT2 Module
Yeni Nesil OCT Modülü: SPECTRALIS® OCT2 Modülü, vitreustan koroid’e kadar geliştirilmiş görüntü kalitesi sunan SPECTRALIS platformu için yeni nesil OCT teknolojisidir. 85 kHz tarama hızı ile muayene sürelerini kısaltarak hasta konforunu arttırır. OCT2 Modülü, OCT anjiyografi ve gelişmiş glokom teşhisi gibi ileri görüntüleme yöntemleri için ideal bir temel sağlar. Hali hazırda mevcut yükletmeye müsait herhangi bir SPECTRALIS sistemine eklenebilir olan OCT2 Modülü, aynı zamanda geleceğe yönelik sağlam bir yatırımdır.

OCT Angiography Module
Non-invaziv vasküler görüntüleme: SPECTRALIS® OCT Angiografi Modülü, 5.7 μm / piksel çözünürlük ile yüksek kaliteli OCTA görüntüleri sunar. TruTrack Aktif Göz Takibi’nin hassasiyeti ile birleştirildiğinde, OCTA Modülü ince kapiller ağların detaylı şekilde görüntülenmesini sağlar. 3.9 μm / piksel eksen çözünürlüğü, dört histolojik olarak doğrulanmış retinal vasküler pleksusun segmentasyonuna izin verir. Yüzeysel ve derin vasküler pleksuslar içindeki özel tabakaların ayrı ayrı görüntülenmesine olanak sağlar. Projeksiyon artefaktı giderme (PAR) aracı, OCTA görüntülerinden artefaktları kaldırmak için yüzeysel vasküler pleksustan bilgi sağlar. Bu, vasküler yapı ve patolojinin daha hassas şekilde görüntülenmesine olanak tanır.

Scanning Laser Angiography
Yüksek Çözünürlüklü Fotoğraf ve Videolar: SPECTRALIS® taramalı lazer anjiyografisi floresin veya ICG boya ile yapılabilir. Her iki mod da damar dolması, akım ve sızıntıyı gösteren detaylı, yüksek çözünürlüklü görüntüler ve video dizileri üretir. İş akışı verimliliği ve tanı hassasiyeti için, FA ve ICGA, OCT görüntüleme ile eş zamanlı ve kombinasyon halinde alınabilir. Ultra-Geniş Açı Anjiyografi Modülü seçeneği, daha kapsamlı retina muayeneleri için makuladan perifere kadar taramalı lazer anjiyografi görüntüleri sunar.

Widefield Imaging Module
Geniş Açı (55 derece) Fundus Görüntüleme ve OCT: SPECTRALIS® Geniş Alan Görüntüleme Modülü, MultiColor, BluePeak, kızılötesi görüntüleme, anjiyografi ve OCT dahil olmak üzere tüm fundus görüntüleme yöntemleri için 55 derecelik bir görüş alanı sağlar. Makula, optik sinir başı ve damar yaylarının ötesindeki bölgeleri tek bir görüntüde yakalayarak Geniş Alan Görüntüleme Modülü kapsamlı tanıların yapılmasını sağlar. Geniş Alan Görüntüleme Modülü ile elde edilen yüksek çözünürlüklü ve yüksek kontrastlı görüntüler, geleneksel fundus fotoğrafçılığının ötesinde tanı olanakları sunar.

Ultra-Widefield Imaging Module
Makuladan Periferiye Ultra Geniş Alan Görüntüleme: SPECTRALIS® Ultra Geniş Açılı Görüntüleme Modülü tek bir çekimle son derece geniş bir görüş alanını yakalar. Fundus görüntülerinde homojen aydınlatma ve yüksek kontrast, çeper bölgeleri de dahil olmak üzere kolayca elde edilir. Modül, floresin ve ICG anjiyografi de dahil olmak üzere SPECTRALIS taramalı lazer anjiyografi ile uyumludur ve her ikisi de tek tek veya aynı anda elde edilebilir.

High Magnification Module
Retinal Mikroyapılar Yüksek Çözünürlükte!: SPECTRALIS® HMM, son derece yenilikçi bir büyütücü lens ve yazılımdan oluşur. Göz içi ışık saçılmasını azaltarak konfokal taramalı lazer oftalmoskopisinin (cSLO) oküler mikroyapıları görüntüleme yeteneğini zarifçe gösterir. Bu oküler mikroyapılar, kataraktı olan gözlerde dahi görülebilir. Konfokal tarama ile elde edilen görüntü kontrastı ve netliği, genellikle oftalmoskopi veya fundus fotoğrafçılığı kullanarak görülemeyen kritik tanısal ayrıntıları verir. Daha geniş görüş alanı sunan bir lens kullanılarak ilgili alan belirlendikten sonra, kullanıcı alanı daha da detaylı incelemek için yaklaşık 8° açıyla ve görüntüleri büyütülmüş olarak elde edebilir. Bu olasılık, belirli retina hastalıklarının ilerlemesi hakkında benzersiz bir bakış açısı sağlayabilir.