SPECTRALIS® HRA görüntüleme platformu, Florescein Anjiyografi (FA) gibi boya temelli anjiyografi için özellikle tasarlanmış olup birkaç tarama lazer fundus görüntüleme yöntemi ile donatılmıştır. Genişletilebilir bir platform olarak, ICGA görüntüleme, Ultra-Geniş Açı Angiografi Modülü veya MultiColor Modülü gibi ek tarama lazer fundus görüntüleme yöntemleriyle her zaman yükseltilebilir. SPECTRALIS HRA, panoramik kamera başlığı ve özellikle FA veya ICGA ile boya temelli anjiyografiyi kolaylaştıran harici dokunmatik panel kontrolü ile teslim edilir.

MultiColor Module
Renkli Fundus Fotoğrafından Çok Daha Fazlası!: Farklı oküler doku katmanlarından üç farklı lazer ışınıyla aynı anda elde edilen benzersiz çok renkli fundus görüntüleme, konvansiyonel renkli fundus fotoğrafçılığı ile görünmeyen topografik değişiklikleri ortaya çıkarabilen kompozit renkli bir görüntü sağlar. Her dalga boyunun farklı penetrasyonu, her doku katmanından yapısal bilgiler sağlayarak patolojiyi belirlemede size yardımcı olur. Tek renkli görüntülerden veya çok renkli kompozit görüntüden teşhis bilgisi elde edebilir ve bunları çoklu modal görüntüleme rejimine entegre ederek teşhis potansiyellerinden yararlanabilirsiniz. • MultiColor Modülü, OCT görüntüleri ile birleştirildiğinde, kalitatif analize yardımcı olur ve patolojiden etkilenen katmanların tanımlanmasında destek olur. • MultiColor, Floresin Anjiyografi’ye önemli bir ek veri sağlar ve OCT veya OCTA ile birleştirildiğinde, ilaçlı fundus anjiyografisine gerek olup olmadığını doğrulayabilir. • MultiColor, BluePeak fundus otoflorasan görüntüleme ile beraber kullanılabilir ve coğrafi atrofi alanlarının genişliklerinin ölçülmesi için mükemmel bir araçtır. Tek bir çekimde dört fundus görüntüsü ve eşzamanlı OCT’nin hızlı ve kolay bir şekilde edinilmesine olanak tanır, iş akışlarınızı optimize eder. SPECTRALIS®’in konfokal mikroskop teknolojisi, görüntüleme çözünürlüğünü daha da arttırarak, medya opakiteleri ve nistagmuslu hastalarda özellikle kullanışlı olan etkileyici görüntüler elde etmenizi sağlar. Ek olarak, konfokal optik sayesinde pupilla dilatasyonuna gerek kalmadan yüksek çözünürlüklü görüler elde etmenize olanak sağlar.

BulePeak Module
BluePeak otoflüoresans modülü, lipofusin’i bir gösterge olarak kullanarak retina metabolik stresini ortaya çıkaran invaziv olmayan bir fundus görüntüleme modudur. BluePeak görüntüleri, AMD ve kalıtsal hastalıklar gibi retina koşullarına ilişkin teşhis bilgileri sunarak RPE ve fotoreseptör hücre işlev bozukluklarını ortaya çıkarabilir. OCT görüntülerinde retina tabakalarının segmentasyonunu BluePeak otoflüoresansın metabolik haritalamasıyla birleştirerek, fonksiyonel değişikliklerle ilişkili morfolojik değişimler daha net görülebilir. RegionFinder yazılımı ile, BluePeak görüntülerinde kaydedilen patolojik bölgelerin boyutları sayısal olarak ölçülebilir ve zaman içinde takip edilebilir.

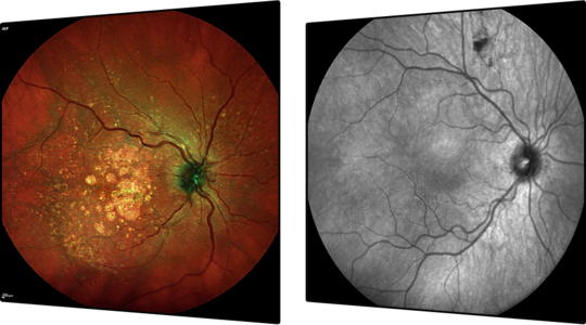
Scanning Laser Angiography
Yüksek Çözünürlüklü Fotoğraf ve Videolar: SPECTRALIS® taramalı lazer anjiyografisi floresin veya ICG boya ile yapılabilir. Her iki mod da damar dolması, akım ve sızıntıyı gösteren detaylı, yüksek çözünürlüklü görüntüler ve video dizileri üretir. İş akışı verimliliği ve tanı hassasiyeti için, FA ve ICGA, OCT görüntüleme ile eş zamanlı ve kombinasyon halinde alınabilir. Ultra-Geniş Açı Anjiyografi Modülü seçeneği, daha kapsamlı retina muayeneleri için makuladan perifere kadar taramalı lazer anjiyografi görüntüleri sunar.

Widefield Imaging Module
Geniş Açı (55 derece) Fundus Görüntüleme ve OCT: SPECTRALIS® Geniş Alan Görüntüleme Modülü, MultiColor, BluePeak, kızılötesi görüntüleme, anjiyografi ve OCT dahil olmak üzere tüm fundus görüntüleme yöntemleri için 55 derecelik bir görüş alanı sağlar. Makula, optik sinir başı ve damar yaylarının ötesindeki bölgeleri tek bir görüntüde yakalayarak Geniş Alan Görüntüleme Modülü kapsamlı tanıların yapılmasını sağlar. Geniş Alan Görüntüleme Modülü ile elde edilen yüksek çözünürlüklü ve yüksek kontrastlı görüntüler, geleneksel fundus fotoğrafçılığının ötesinde tanı olanakları sunar.

Ultra-Widefield Imaging Module
Makuladan Periferiye Ultra Geniş Alan Görüntüleme: SPECTRALIS® Ultra Geniş Açılı Görüntüleme Modülü tek bir çekimle son derece geniş bir görüş alanını yakalar. Fundus görüntülerinde homojen aydınlatma ve yüksek kontrast, çeper bölgeleri de dahil olmak üzere kolayca elde edilir. Modül, floresin ve ICG anjiyografi de dahil olmak üzere SPECTRALIS taramalı lazer anjiyografi ile uyumludur ve her ikisi de tek tek veya aynı anda elde edilebilir.

High Magnification Module
Retinal Mikroyapılar Yüksek Çözünürlükte!: SPECTRALIS® HMM, son derece yenilikçi bir büyütücü lens ve yazılımdan oluşur. Göz içi ışık saçılmasını azaltarak konfokal taramalı lazer oftalmoskopisinin (cSLO) oküler mikroyapıları görüntüleme yeteneğini zarifçe gösterir. Bu oküler mikroyapılar, kataraktı olan gözlerde dahi görülebilir. Konfokal tarama ile elde edilen görüntü kontrastı ve netliği, genellikle oftalmoskopi veya fundus fotoğrafçılığı kullanarak görülemeyen kritik tanısal ayrıntıları verir. Daha geniş görüş alanı sunan bir lens kullanılarak ilgili alan belirlendikten sonra, kullanıcı alanı daha da detaylı incelemek için yaklaşık 8° açıyla ve görüntüleri büyütülmüş olarak elde edebilir. Bu olasılık, belirli retina hastalıklarının ilerlemesi hakkında benzersiz bir bakış açısı sağlayabilir.